表情じわの原因となる筋肉に天然のたんぱく質を注射することで、筋肉をリラックスさせてしわをできにくくする方法です。
表情じわなどの美容医療をはじめ、20年以上にわたり様々な治療に利用されています。

ボツリヌス療法の種類
ボトックスビスタ®
特徴

アラガン社の「ボトックスビスタ®」は、シワの治療の用途に日本で唯一厚生労働省より2009年に承認を取得したものです。
日本の基準での有用性・安全性が評価され、厳しく品質管理されています。
効果
3日後くらいから徐々に効果を感じ、2週間程でピークになる。
効果は4~9ヶ月ほど持続。
イノトックス®
特徴

韓国のメディトックス社製ボツリヌス(製品名:イノトックス®)世界初の液状のボツリヌス療法薬(韓国製)です。
溶解する必要が無いため、「濃度のブレや細菌汚染のリスクが低い」人血清アルブミンや、動物由来の成分を含みません。
※KFDA(韓国食品医薬品安全庁)の認可を得ていますが、日本の厚生労働省の承認を取得していません。
効果
3日後くらいから徐々に効果を感じ、2週間ほどでピークになる。
効果は4~9ヶ月ほど持続。
ボツリヌス療法による効果は、額、目じり、あご、の表情じわに特に効果的です。ボツリヌス療法はしわを取りたい部分の皮膚の上から注入するだけです。極細の針で注射しますので、注射針による穿刺時の痛みはほとんどありませんが、液の注入時には液による多少の痛みがあります。
ボツリヌス療法は表情じわだけでなく、小顔(えらの張りの改善)や美脚(ふくらはぎの部分痩せ)などのタイトニングにも高い効果を持っています。咬筋によるエラの張りを抑制することで筋肉の活動を抑え小顔を実現します。
ボツリヌス療法が多汗症の治療に有効な事が証明され、2004年に脇の多汗症治療への使用がFDAの認可を得ました。自律神経に働きかけることで発汗を抑えると同時に、気になる腋の臭い(わきが)にも有効に作用します。

肩こりによる難治性の頭痛でお困りの方に高い効果を示します。肩こりの原因となる僧帽筋、半棘筋、肩甲挙筋などの硬直部位に適量注射し、更にトリガーポイントへのキシロカイン注射併用で相乗効果を上げます。筋緊張から長期間約5か月間開放されます。
※治療結果や必要な治療回数には個人差が有ります。
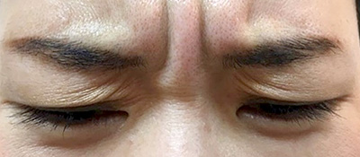
眉間のシワ:注射部位は、鼻根部1ポイント、皺眉筋左右で4ポイントの計5ポイントで、皺眉筋の内側部2ポイントは筋層にボトックス液を各4単位、他の3ポイントは皮下組織の浅層にボトックス液を各2単位注入しました。右写真はボトックス注射2週後の状態です。眉間に力を入れても縦しわが出来ていません。
料金:21,000円
リスクと副作用:注入時の刺激、腫れ、内出血、赤み、表情のこわばり、アレルギー、違和感などのリスクや、内出血などの副作用が起こることがあります。
前額部のシワ:この部位の筋は挙上筋なので過剰な治療は眉毛下垂を生じます。症例により注入部位や量は調節しますが、この例では、額上部の髪の生え際に近いポイント4ヶ所の筋層に2単位づつ、額の真ん中のシワに沿う皮下組織層に3ポイントに1単位づつ、それとその下のシワに沿って、両眉尻の上2cm部位2ポイントと眉間の直上2cmの1ポイントの浅い真皮層に1単位づつ注入しました。2週後の経過観察で額に力を入れてもしわはほぼ出来ていません。
料金:44,000円
リスクと副作用:注入時の刺激、腫れ、内出血、赤み、表情のこわばり、アレルギー、違和感などのリスクや、内出血などの副作用が起こることがあります。
ガミースマイル:笑うと歯肉が見えるのを改善しました。上口唇が上唇鼻翼挙筋によって過剰に引き上げられないように、この部位にボトックス注射しました。小鼻わき外側5mmの左右のポイント2ヶ所のやや深い層に4単位づつ注入しました。2週後の経過観察で、ガミースマイルは解消されました。
料金:9,000円
リスクと副作用:注入時の刺激、腫れ、内出血、赤み、表情のこわばり、アレルギー、違和感などのリスクや、内出血などの副作用が起こることがあります。
治療の目的に応じてボツリヌス・トキシンを注入する皮膚の層を選ぶことで、違った効果が現れ治療の応用範囲が広がりました。
ある範囲の皮膚の皮内、皮下浅層に複数個所に微量づつ注入することで、皮膚の引き締め効果が現れ、たるみ改善、毛穴収縮効果などのリフトアップ作用があります。

微量のボトックス注射・イノトックス注射をお肌のごく浅い層(真皮層)に細かく多数注入します。
筋肉よりも浅い層に注入することで筋肉の動きは残したままで、肌の引き締めによるリフトアップ効果と、肌のキメを整えます。
毛穴開きを改善して、過剰な皮脂分泌や発汗を抑える美肌効果もあります。
マイクロボツリヌス注射施療部位
| 部位 | ボトックスビスタ® | イノトックス® | |
|---|---|---|---|
| 額 | 1回 | 44,000円 | 39,600円 |
| 両目尻 | 1回 | 36,000円 | 32,400円 |
| 眉間 | 1回 | 21,000円 | 18,900円 |
| 小顔、両顎部 | 1回 | 63,000円 | 56,700円 |
| ワキガ、両脇 | 1回 | 78,000円 | 70,200円 |
| 美脚 | 1回 | 78,000円 | 70,200円 |
| ガミースマイル | 1回 | 9,000円 | 8,100円 |
| バニースマイル | 1回 | 9,000円 | 8,100円 |
| 頤部 | 1回 | 12,000円 | 10,800円 |
| 口角 | 1回 | 9,000円 | 8,100円 |
| 花粉症ボトックス | 1回 | 18,000円 | 16,200円 |
| 肩こりボトックス | 片側 | 30,000円 | 26,363.64円 |
| 両側 | 57,272.73円 | 53,636.36円 | |
| マイクロ注射 | |||
| リフトアップ 額部、頬部、頸部 |
1部位 | 60,000円 | 54,000円 |
| 麻酔 | |||
| クリーム麻酔 | 1施療 | 1,000円 ~ 5,000円 |
1,000円 ~ 5,000円 |
注射直後のマッサージや横になる事は控えてください。製剤が拡散して予定した効果を発揮できないことがあります。
また、当日のアルコール摂取は控えてください。温浴は当日から可能ですが熱い風呂やサウナは控えてください。
注射の痕(赤み)がでることがありますがメイクで隠せる程度のもので数日でひきます。
注射によって内出血がでることがありますが通常10日~14日程度で消失します。
ボトックスビスタ®やイノトックス®の作用により、一時的に表情がつくりづらく感じる事がありますが、数日で違和感は消失します。
極く稀にアレルギー反応を起こす場合があります。この場合も対処可能です。
※詳細については医師にお尋ねください。
Q ボトックスビスタRとは何ですか?
ボツリヌス菌が産生した成分を用いて局所的に筋肉の緊張をゆるめることにより、シワを始めとしてさまざまな効果があります。
アメリカでは20年以上前から使われている安全な方法です。
Q 顔のどんなシワに有効ですか?
目じり、おでこのシワにとても効果があり、一度の注射で約5ヶ月間はほとんどシワが消失します。
Q 首にシワが増えたのですが首にも効きますか?
首を広く覆っている広頚筋が収縮するとシワができます。
広頚筋に注射することで首のシワは抑えられますが、マイクロ注射によるリフトアップも効果があります。
Q エラがはっていて気になるのですがボトックス注射・イノトックス注射は効きますか?
顎の筋肉が発達しているとエラがはって角ばった輪郭になります。
ここに注射すると筋肉が次第に萎縮して、輪郭がほっそりとなり小顔効果が得られます。
Q ボトックス注射・イノトックス注射は腋臭(ワキガ)にも効きますか?
腋の下への注射でアポクリン腺の分泌が抑えられます。
腋臭や汗が多くて汗染みが気になる方など約5ヶ月は解放されます。
Q 顔への注射は不自然な表情になるのではと心配です。
マイクロ注射は大丈夫なのでしょうか?
顔の筋肉へ働きかけるボトックスとは異なり、マイクロ注射は筋肉作用への影響が少ないので自然な表情を保ちます。
Q マイクロ注射が毛穴に効果的な理由とは?
35歳を過ぎてから頬の毛穴や黒ずみ、たるみが悪化してきます。
マイクロ注射はごく少量のボツリヌスを筋肉ではなくお肌の浅い部分の真皮と皮脂腺や汗腺に働きかける治療です。
これにより、肌の引き締めによるリフトアップ、毛穴の引き締め、皮脂腺や汗腺に働く美肌効果があります。